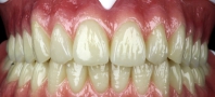
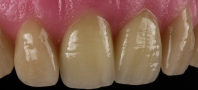
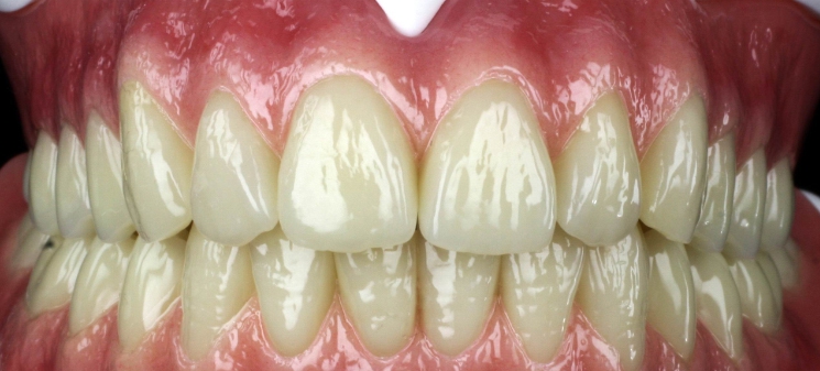
Schön, dass Sie sich etwas Zeit nehmen um sich über die ästhetischen und funktionellen Möglichkeiten beim herausnehmbaren Zahnersatz zu informieren. „Auch eine totale Prothese hat das Recht schön zu sein!“ Aber nicht nur schön soll sie sein. Funktionell soll sich eine totale Prothese wie übrigens jeder Zahnersatz am Vorbild der Natur ausrichten, das man an den  Gesetzmäßigkeiten natürlicher, unversehrter physiologisch arbeitender Gebisse ablesen kann. Die wertfreie Beobachtung ist die Grundlage wissenschaftlichen Handelns. Es ist das Verdienst von Dr. Eugen End, dass er genau dies seit 1976 über Jahre unermüdlich getan hat. Das Resultat hat sich als Bio-Logische Prothetik mit dem Konzept der physiologischen Okklusion  im abnehmbaren und festsitzenden Zahnersatz etabliert. Begeisterte Patienten und Zahnärzte bestätigen die täuschend naturähnliche Qualität meiner prothetischen Arbeiten. Arbeit, die uns Spaß macht, wird zum Vergnügen! Die beste Voraussetzung, um der Natur täglich ein bisschen näher zu kommen. Seit 18 Jahren konsequente Anwendung der BLP mit VITA-Physiodens in der täglichen Praxis.   Viktor Fürgut
Aktuelle Workshop-Termine Herzlich Willkommen
Copyright: Viktor Fürgut  | Impressum | Kontakt |
HOME VIKTOR FÜRGUT WORKSHOP MESS-SET GALERIE NETWORK EXKLUSIV MESS-SET  nach Viktor Fürgut
Konzeption & Design: www.next-art.de
Zahntechniker & Referent für exklusive Totalprothetik
HOME