Lieber Anwender, manchmal dauert es ein bisschen länger bis man aktiv wird um sich von der Improvisation zu befreien. Viele ähnliche Instrumente wie in diesem Set findet man in der Dentalindustrie, ja sogar in Baumärkten oder Schreibwarengeschäften. Leider sind diese Artikel nur bedingt zu gebrauchen, müssen modifiziert werden und halten den Laboralltag nur kurze Zeit aus. Gerade in der Teil- und Totalprothetik kommt es darauf an, dem Behandler optimale Unterstützung zu geben. Nach mittelwertigen Maßangaben angefertigte Bissschablonen oder Zahnaufstellungen sind sehr hilfreich und zeitsparend. Eine waagrechte und biologisch richtige Gestaltung der Okklusionsebene ist Voraussetzung für funktionellen Zahnersatz. In der Teil- und Totalprothetik, die immer mehr implantatgetragen hergestellt wird, ist es unerlässlich das künstliche Zahnfleisch der Natur entsprechend zu gestalten. Mit dem falschen Instrument ist bereits bei der Wachsmodellation dieser Anspruch nicht zu erfüllen. Das vorliegende Arbeitsset ist aus sehr hochwertigen Materialien, es wird Sie viele Jahre bei der täglichen Arbeit unterstützen. Es entstand aus den Erfahrung meiner fast 30jährigen Tätigkeit im gewerblichen Dentallabor. Meine Kursleitertätigkeit war letztendlich ausschlaggebend dieses Set herzustellen, denn das  Bestreben nach  optimaler Herstellung von Zahnersatz fand ich immer auch bei meinen Kursteilnehmern.
Exklusiv Mess-Set nach Viktor Fürgut Downloads
Produktbeschreibung und Anleitung Deutsch Englisch Russisch Bestellformular Deutsch Englisch Russisch
HOME VIKTOR FÜRGUT WORKSHOP MESS-SET GALERIE NETWORK Inhalt des Sets
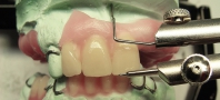
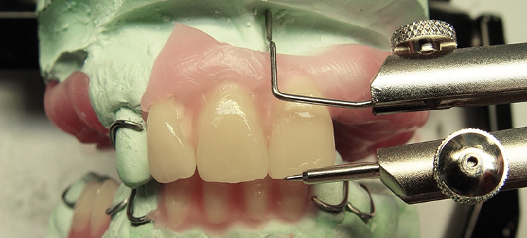
Bestehend aus: 1 x Profilzirkel 1 x Messzirkel 1 x Okklusionsebenenzeiger verchromt mit Libelle 1 x Modellierinstrument speziell für die Zahnfleischmodellation
Copyright: Viktor Fürgut  | Impressum | Kontakt |
Konzeption & Design: www.next-art.de
Zahntechniker & Referent für exklusive Totalprothetik
MESS-SET